
许多小同伴在不经意间,会突然发现甲泛起一些异样:好比变色、有裂纹、长出细小 的异物,有时间 以为是不小心磕遇到 造成的,不以为然。着实 遇到这种情形 一定要小心 起来,由于 有可能是肿瘤哦~
今天樊哥就给各人扒一扒那些我们不熟悉的甲的良性和恶性肿瘤。
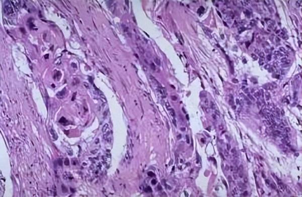
1.甲下血管瘤
甲面丰满且触痛显着 ,很可能是得了甲下血管球瘤。血管球瘤是起源于甲床的神经肌肉动脉血管球细胞,伴有严重的疼痛,会在冷刺激或者按压刺激下发生,一样平常 可以在甲面上看到蓝红色的改变,甲板外观丰满,若是 泛起上述的症状和甲改变,可以去医院举行 B超或者磁共振的检查来明确并确定肿物的位置和巨细。
处置赏罚 的话只能举行 外科手术,将这增生的血管球细胞摘除掉。位于甲母质中的血管球瘤很难摘除,若摘除不完全,复发的风险很高。也有部门患者病程较量 久,血管球瘤榨取 到甲床,导致甲板远端有裂隙形成。
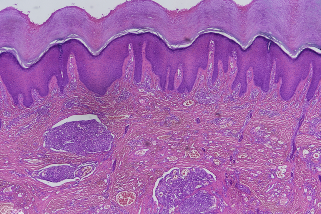
2.甲周纤维瘤
指(趾)甲根部长出了一颗芽,那是甲周纤维瘤。甲周纤维瘤最常从甲母质生出,也可以发生于甲床或近端甲襞,在生长至甲板外貌,可以在自然状态下长出,也可以在收到稍微 外伤后生出,长一株或者多株均有可能。
水滴石穿,由于纤维瘤挤压甲母质,导致甲板发生凹槽泛起纵向沟。甲周纤维瘤治疗时需要从其根部附着处去除,有些患者像剪指甲一样,将外露甲板处的瘤体剪除,不久后即会再次泛起局部复发,故而治疗时需要连根拔起。
3.甲下外生骨疣
甲板下方长出了“一根骨头”,这是甲外生骨疣。甲下外生骨疣为一良性的骨软骨肿瘤,最常发生于青少年或年轻成人的大脚趾尖的背内侧面,可以没有症状,也可以稍微 痛,做个X线片可证实诊断。
治疗也是手术切除。完全手术切除病灶就可根治该病。需要注重 的是,手术后的患者只管 牢靠 甲板,可以使用黏性胶布牢靠 ,也可以接纳其他牢靠 方式,尽可能长时间地将甲板保持在原位,以防远端嵌入。在通常情形 下,术后可长出外观正常的指/趾甲。
4.甲鳞状细胞癌
是最常见的甲恶性肿瘤,最常发生于指甲,位于甲床内或侧甲沟内。甲鳞状细胞癌通常发生于年岁 较大的男性。现在 医学界以为 的可能引发甲鳞癌发作的因素有创伤、辐射袒露、吸烟及人乳头瘤病毒16、18型熏染。
也正是由于 甲周及甲下鳞癌的临床特征很一样平常 ,无特异性,因此,经常不能早期确诊,使诊断恒久延迟。
甲的一些体现,如角化太过、一连 性甲剥离、纵向红甲、疣状增生、甲沟炎、甲板营养不良或甲下肿块,看起来都很无害,无法引起患者及医生的重视,可是 若一连 存在疣状或角化性病变,或者经寻常疣冷冻治疗或其他治疗后复发,应引起嫌疑 ,尽早举行 活检检查。治疗方案也是依据肿瘤的分期接纳差异规模的切除。
5.甲玄色素瘤
甲玄色素瘤也是起源于甲母质。较为少见。有数据为证,甲玄色素瘤占白种人群玄色素瘤的1%~3%,占深色皮肤人群玄色素瘤的15%~30%.多数的甲玄色素瘤体现为甲板处的棕至玄色纵向条纹,少数甲玄色素瘤为无色素性,体现为甲床肿块或甲板畸形。
也由于 早期无害的外观,在早期被误诊为良性疾病,也正是由于诊断延误,甲下玄色素瘤的预后较差,报道的5年和10年生涯 率划分为30%和13%.
可见,甲也会生种种各样的误差 ,还会恶变。以是 ,当你的甲泛起了这样或那样的改变,自己拿禁绝的时间 ,就不要自助了,去医院里求医吧。要害是需要对两类疾病举行 判别 ,肉眼有时判断禁绝,可以借助皮肤镜和病理检查。
#樊哥撩皮肤##肿瘤##指甲##肿瘤防治科普##皮肤科#
声明:本文章以科普为主,为公共科普皮肤基础知识和调养知识,文章部门素材图片来自网络,若有 侵权请实时联系予以删除。

