
豪医生前几天加入会诊了一个病人,晚年 男性,吸烟30年,戒烟10年,查出右肺肿块,今天病理效果 出来,确诊是肺鳞癌,下面分享一下。
许多人说吸烟跟肺癌无关,吸烟的人不要容易 戒烟,否则更容易出问题。
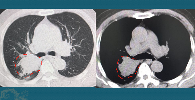
我们先不争论这些,看看这个病人的CT片:
右侧肺门区一个不规则肿块,最大径线4.6cm,远侧肺组织里有一些小点片状炎症,这是由于肿瘤堵塞气道,引起的壅闭 性肺炎。
这个肿瘤经胸外科主任会诊,已经失去手术时机。经支气管镜病理确诊为非角化型肺鳞癌。
肺鳞癌从早期到长到4.6cm的晚期,需要多久呢?肺鳞癌起源于气道黏膜上皮,约莫占所有肺癌的30%,分中央型和周围型,中央型约莫占2/3,患者发病年岁 多>50岁,男性远远多于女性,与吸烟关系亲近 。
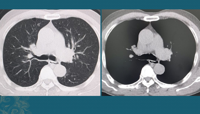
从生长速率 上看,肺鳞癌通常比腺癌更快,破损 力更大(某些低分化腺癌也很快)。我们搜索这位病人既往的检查资料,发现他2年前由于 伤风、咳嗽、发烧做过一次胸部CT,其时的支气管和肺脏是完全正常的:
就是说,这个4.6cm的肿块是在不到两年的时间里长出来的,速率 相当快!
以是 有肺癌高危因素的人群,最好每年体检一次,增大清静 系数。
肺癌的高危人群规模年岁 ≥40岁,且具有以下任一危险因素者,应视为肺癌高危人群(来自《肺结节诊治中国专家共识2018版》):
1.吸烟≥20包/年(或者400支/年),或者曾经吸烟≥20包/年(或者400支/年),戒烟时间<15年;
2.情形 或高危职业袒露史(如石棉、铍、铀、氡等接触者);
3.慢阻肺患者、弥漫性肺纤维化或者既往有肺结核病史者;
4.既往曾经患过恶性肿瘤或者有肺癌家族史者。
第一条的20包/年诠释 一下,不是每年吸烟>20包,而是天天 吸烟的包数×烟龄,好比天天 2包,烟龄10年,就是20包/年。
肿瘤医学生长到现在,对晚期肺癌的治疗手段是许多的,好比靶向治疗、免疫治疗、微创治疗(消融治疗和放射性粒子植入等),尚有 传统的放化疗等。要诊断差异的病理类型、分期、发生部位、基因检测效果 等选取敏感治疗方式。有些方式并不贵,可以酌情选择实事求是 ,能延伸 寿命也是好的。
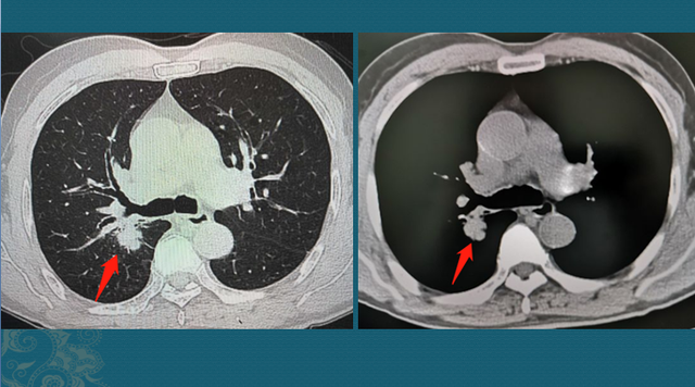
这位病人厥后做了4个周期化疗(吉西他滨+奈他铂),效果很是好,在第三周期化疗后做了一次CT复查,肿瘤显著缩小:
事实上,晚期肺癌经由 综合治疗,生涯 5年以上的病人越来越多了,而且能保证很好的生涯 质量。无论选择哪种治疗方式,都可以向主治医生咨询大致的用度,预期可能到达的效果等,实事求是 。在能力允许的条件 下,既阻止 人财两空,也不容易 松手 ,事实 家人的生命只有一次。
豪医生在科普历程中也发现,许多肿瘤病人建设了种种肿瘤微信群,各人互帮相助,交流种种治疗履历 ,许多人都变得很是专业!这对医生也是很好的激励,各人的战略目的 是一致的,一点一点前进 ,终究会有彻底攻克癌症的那一天!到那时,全球同庆!
我是影像科豪医生,分享小病例,转达 正能量。
#湖南医聊超能团##康健科普排位赛#

