
这是一位网友的留言提问,点赞的还许多,看来不少人对癌症该不应治疗,心存疑惑,我们今天看几个详细 例子,简朴诠释 一下癌症该不应治疗,治与不治有哪些详细 差异。
关注肿瘤方面的读者应该对数据陈诉有相识 ,我国每年有几百万癌症病人,这其中有放弃治疗听天由命,想把钱财留给孩子的;也有较量 幸运早期发现而治愈的,尚有 一些依赖 药物或者某些偏方延伸 了寿命的。
我们视察那些放弃治疗的癌症病人,基本就是两种效果 :
第1种很是幸运,属于懒癌,肿瘤生长很慢!
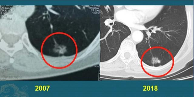
有些肿瘤属于惰性病灶(这种较量 少见),癌细胞在较长一段时期内呈惰性希望 ,像动物蛰伏一样,甚至十几年保持靠近 静止的状态。好比下面这个肺腺癌病例:
这位中年女士,体检发现左侧肺腺癌,体现为混淆磨玻璃结节,形态不规则,伴有胸膜牵拉,肺门侧可见一支供血血管。她对手术很是恐惧,选择亲近 视察,很幸运,她的这个病灶很是懒,一直到11年后才发现增大迹象,体现为密度增添 ,着实 不敢再拖了,最终手术切除,治愈!
第2种,癌细胞以常见的速率 希望 。这种的更常见,癌细胞就像野草一样失去调控,许多生长速率 较量 快,掠夺周围组织的营养,甚至发生主要 器官(肺、肝、脑等)的转移,若是 放任不管,生涯 期通常较量 短。
我们也举个例子:
这是一位成年男子,干咳一周发现右侧肺癌,2.2厘米,支气管镜淋投合穿刺以及痰液检查,明确为浸润性肺腺癌,伴有多发转移。
已经无法做根治性手术,选择放弃治疗听天由命,效果 仅仅过了8个月,复查CT显示肿瘤增大到靠近 8厘米,速率 很是快:
现在 病人情形 已经很差,严重消瘦,身体很虚弱,生怕 坚持不了太久了……
对于这类生长速率 较量 快的肿瘤,放任不管,单凭保持快乐心情和增添 营养是压不住癌细胞的,需要外力的资助。
好比下面这位老烟民,由于 咳嗽、痰中带血发现右肺门肿块,支气管镜确诊为非角化型肺鳞癌:
已经无法手术切除,选择定位放疗,已经4年了状态很好,今年复查CT看到右肺门周围有一点放疗后的肺间质纤维化改变,对肺功效影响不大,没有复发征象。
中晚期癌症的治疗手艺 也在一直 前进 ,好比对肺癌的射波刀放疗,通过呼吸门控手艺 可以摒除呼吸运动滋扰,对肿瘤定位越发精准,这样射线量可以清静 有用 地增添 (数倍于伽马刀)。既往某些对放疗不敏感的肿瘤,在射波刀问世之后也成为了敏感肿瘤,由于 射线量增添 了。
癌症会不会存在误诊的情形 ?有不少人坚持以为 :癌症基础治欠好,通常治好的都是误诊!这是小看医学凭空捏造 了。
癌症会不会误诊呢?有这个可能,但可能性很小!不能以初诊做定论。
现在的癌症诊断手段很是多,彩超、CT和增强CT、磁共振,内镜、穿刺病检、甚至PET-CT等,基本不会误诊。
有一些病人是身体不适,只做了起源 的检查,好比只做了彩超或者通俗 CT,医生发现有肿块,只是嫌疑 有癌症的可能,建议进一步检查。
有的人就会放弃进一步检查,然后听天由命,或者去实验一些偏方,效果 多年后依然好好的,然后就嫌疑 医生昔时 是不是误诊?
就像上面这位病人,CT发现左下肺分叶状实性肺结节,不能扫除 肺癌,尤其是鳞癌和小细胞,虽然也可能是良性肿瘤(好比错构瘤),可以思量 进一步增强CT或者穿刺确诊。
他没有做进一步检查,选择听天由命,效果 10年后由于 其它缘故原由 复查CT,结节没有显着 转变 ,切合良性肿瘤的特点。
这种情形 只能说昔时 没有确诊,不能说是误诊。
我是影像科豪医生,分享小病例,转达 正能量,接待关注!
#湖南医聊超能团##超能康健团#

