
条记要点
上颌部位的肿物判别 诊断有哪些?
病例先容
患者年岁 :17岁
患者性别:女
简要病史:
1个月前无显着 诱因右面部泛起肿胀,无疼痛、破溃、鼻塞等症状。肿胀逐渐加重,肿块约鸡蛋巨细,遂来求治。
体格检查:
五官外观正常。口腔内肿胀,累及后上颌骨的颊部和腭部。病变质软,无流液。
既往史:
8年前,发现右上颌第一前磨牙阻生。
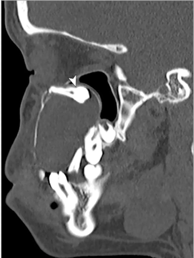
头CT显示,肿物右前上颌骨与上颌窦和眶底毗邻,呈相对球形(直径4cm),并在肿物上缘可见一颗阻生前磨牙(图)。
无眼球突出或视野改变。
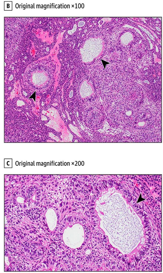
经口内入路,经皮穿刺行切口活检效果 显示牙源性牙源性牙髓炎细胞增生,具有假腺因素 的上皮细胞(图)。
诊断是什么?
A. 牙源性颌骨囊肿
B. 牙源性角化囊肿(牙源性角化囊性肿瘤)
C. 成釉细胞瘤
D. 牙源性腺瘤样瘤
===============
诊断后,行局麻手术,,韦伯-弗格森(Weber-Ferguson)切口切开,进入上颌骨病灶举行 完全切除。
术后随访,未见复发。
病例述评
腺瘤样牙源性瘤占牙源性肿瘤的4.2%,多见于20岁以下青少年,平均年岁 16~19岁,女性多见,男女之比为1∶2。上下颌骨均可发生,但以上颌骨多见,上下颌骨之比例为2∶1,上颌骨以发生在尖牙和第一前磨牙区最多。常有牙缺失。肿瘤生长缓慢,一样平常 瘤体较小,无任何自觉症状,仅在局部形成膨隆,较大时引起局部畸形。
手术切除,一样平常 肿瘤较小可以在口内行肿瘤切除,且可保留颌骨的一连 性。
病理学上,低倍镜下最显著的体现为立方状或高柱状的牙源性上皮细胞组成的差异巨细的实性结节,形成巢状或玫瑰花结样结构,有少量的结缔组织间质脱离 。在上皮细胞间及玫瑰花结样结构的中央 可见嗜酸性的无结构物质。在细胞富厚的区域可见显着 的管状结构或呈导管样外观,管样逍遥 由单行高柱状上皮细胞围成,核呈极性排列,远离管腔。这种管腔样逍遥 是由高柱状上皮细胞渗透 物形成的假性管腔,可以呈空腔、含有嗜酸性物或细胞残屑。除了管状结构,立方状及高柱状细胞还可排列成相互缠绕的条索,形成重大 的、常泛起内陷的结构。另一种特征性的细胞排列方式为多边形、鳞状细胞样、嗜酸染色的上皮细胞组成的结节,细胞界线 清晰 ,有显着 的细胞间桥。细胞核可呈轻度(退变性)多形性。

