
天天 答疑上千条,
只为让你皮肤好!
这次分享一个我最近事情中遇到的典型皮肤案例——毛囊炎。
一桩由薏仁英华 引发的悬案前不久,一位小可爱反馈,在用了薏仁英华 3~5天后,原本额头没有痘痘的地方,竟然最先 泛起大片红肿的类似痘痘的工具。
然后联系到我们小助理,发下场 部照片给我们。
早先 ,这位小可爱因频仍 爆痘,以是 在朋侪 的推荐下购置了薏仁英华 ,小助理推荐使用要领也是点涂在痘肌处。
她使用5天后,原本没有痘痘的额头最先 发红。
小助理检查了她第一次反馈的照片,发现她其时额头下面已经可见显着 的红色炎症,局部类似于爆痘的前期。
小助理跟她详细确认了使用薏仁时长、使用要领、使用规模、平时护肤品用的什么品牌、饮食生涯 作息是否纪律……
但其时这位小可爱,一直纠结的重点在为什么用了薏仁英华 反而额头长痘?(娘娘心田 os,小菇凉此行或许并不是想解决皮肤问题,而是想找个背锅侠吧,但你找错了缘故原由 ,皮肤不就更好不了了?)
对于这个问题有点像一个伤风的人,突然问为什么伤风药会导致TA伤风?
娘娘掐指一算这内里 问题不简朴~~~
就在我们也在起劲 为她解答疑惑的时间 ,不到一天小可爱又反馈了新的额头照片。
相比上次额头还没显着 发红的部门,现在已经肉眼可看法长出来了!
抽丝剥茧找真凶案作为曾经长达一年被痘痘折磨的娘娘本人,也没履历 过一天就生长云云 迅速的痘痘~
于是我们又详细询问了她的护肤品使用史,才终于从细枝小节 里找到了“素颜霜”这个要害词!
看到这里,我们也给出推测,可能是“素颜霜”使用历程中,隐藏的一些跟清洁、粉体叠加等有关问题,导致的肌肤菌群失衡有关,最终导致毛囊炎的发生。
小助理也实时给出建议,让小可爱去医院做微生物检测。
娘娘也在社群内对她的问题举行 相识 答。
不知道是不是尚有 许多宝宝以为 ,只要皮肤长了"包",就都叫痤疮?
托付,这都2020年,距离我最先 写民众号都有5年了,我们早就不止一次的写过,皮肤上的"包",除了痤疮,尚有 可能是毛囊炎、皮疹、玫瑰痤疮、脂溢性皮炎等。
由于许多皮肤问题,外表看起来都极像痤疮,但致病因素却并不是痤疮丙酸杆菌,而是如马拉色菌、葡萄球菌等致病菌引起,以是 除非做皮肤微检,没有医生敢打包票把"包"等同于"痘"(但事实上,确实有许多医生是这么做的)!
正由于 皮肤问题很难用肉眼给出准确结论,以是 我们的建议是,若是 平时不长痘的皮肤突然长痘了,那么尽快去医院做一个周全 的检查吧,由于 总有一些人,不查不知道,一查吓一跳。
经常有人会查出个毛囊炎、玫瑰痤疮这种小问题,也有人查完后告诉我们原来她是多囊卵巢,甚至其他疾病患者。(娘娘心田 os:卖你个护肤品,还帮你做了个全身体检,这种服务除了遇道,尚有 别人吗?)
接着说,由于毛囊炎前期跟痤疮的表象有类似,以是 小可爱依然以为 脸上的就是痤疮,而且依然以为 是薏仁英华 导致了她长痘……
没过多久当初先容 小可爱买薏仁英华 的皇后,特殊 委屈地给我们发来她朋侪 --小可爱的照片。
而且体现,原本的盛意 ,没想到现在朋侪 发作了严重的痘痘,被朋侪 指责 ,心里十分委屈。
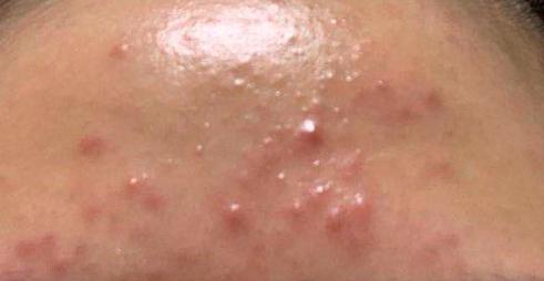
我们一边唏嘘一边仔细审查 了小可爱的照片,发现她的额头发作的全是内含白色渗透 物的痘。
在这么短时间内泛起这样快速生长的情形 ,而且小可爱也没有其他致痘恶习,凭证 我的从业履历 ,这已经不能说是寻常痤疮了。
再仔细一看,她不仅痘痘处发红冒脓包,连不长痘的地方也是大片大片的发红,而且泛起刺痒情形 ,这个时间 娘娘已经嫌疑 她是严重的毛囊炎患者了。
我们连忙 私信她,建议她本人能够尽快去医院做检测。
小可爱终于去了医院,做了检测,并第一时间发来最终检测信息。
*注重 :通俗 痤疮一样平常 是不会有发痒的症状,而毛囊炎的特质就是发痒,刺痛。
至此:薏仁英华 终于沉冤昭雪。小可爱也实时获得了治疗,在这里也希望她早日康复。也希望她能准确 的护肤,慎用素颜霜这类特殊性产物。
对于之前的误解,娘娘想说,若是 祛痘的产物会导致长痘,那配方师们天天辛辛勤 苦的研究配方尚有 什么意义呢?
严肃而认真地总结主要 的事情说三次:
伤风药不会导致你伤风!
创口贴不会导致你受伤!
祛痘产物也不会导致你长痘!
·怎样 区分“痤疮”和“毛囊炎”?
简朴来讲你只需记着5的区别!
1、 皮肤疾病的类型差异:
痤疮的发生主要与皮脂渗透 过多、毛囊皮脂腺导管堵塞、细菌熏染和炎症反映等因素亲近 相关。
毛囊炎则可能由于 差异的细菌(葡萄球菌、痤疮丙酸杆菌)和真菌(马拉色菌)熏染引起的皮肤病,让毛囊发生炎性病变。
2 、发生的缘故原由 差异:
毛囊炎的发生主要是皮肤毛囊受到了细菌or真菌熏染如, 马拉色菌,葡萄球菌等。
面部毛囊炎的发生多由于肌肤菌群失衡熏染金黄色葡萄球菌。
痤疮是一种多因素的疾病,其主要的缘故原由 可见雄激素水平异常,皮脂大量渗透 ,毛囊周围细胞角化异常和炎症反映(主要是痤疮丙酸杆菌引起)此外遗传,压力,免疫内渗透 杂乱也会影响发病。
3、 好发的身体区域差异:
痤疮一样平常 会发生在面部,除此前胸后背这些皮脂腺渗透 兴旺 的地方也容易发。
毛囊炎简朴来说只要你身体有毛囊的区域都是有可能发生毛囊熏染的。(常见于面部,四肢,臀部)
4、 临床体现纷歧样:
毛囊炎体现是急速生长,刚最先 体现以毛囊为中央 的红色丘疹,随后顶部有白色脓疱,边缘可有红晕,直径在2~5mm左右。大部门都市刺痒!
(毛囊炎图示)
痤疮的体现主要分轻、中、重,差异的水平症状也差异,轻度仅仅体现为粉刺,中度可能会有一些炎性的丘疹,重度就会形成一些大的囊肿结节。痤疮一样平常 不会泛起刺痒的征象 。
(痤疮图示)
5 、治疗改善水平差异:
毛囊炎通常是外用药物抗菌治疗熏染。收效快,预后优异 ,但仍有复发及泛起相关并发症的可能。平时注重 防护、起劲 治疗,可控制毛囊炎生长并镌汰 复发。
痤疮由于发生气 制很是重大 ,且慢些历程 居多,治疗照顾护士起来也是循序渐进的历程。需要恒久调治改善。长时间不做治疗容易导致面部肌肤损伤。
相识 了这5个区别就基本能判断出到底是毛囊炎照旧痤疮。
·毛囊炎和痤疮会不会同时发生?
谜底 :会!
确实有同时存在面部有痤疮,又发生毛囊熏染的。对于这样的情形 ,一样平常 人很难判断自己的皮肤泛起了什么问题,极易误会为痤疮,若是 又恰巧 刚换了肤品,就很容易就让"忠实 人"背了锅。
当脸部泛起红色的包,它纷歧定就是痤疮,尚有 可能是毛囊炎,尚有 可能又有痘痘又有毛囊炎!
当你嫌疑 自己面部泛起的工具到底是个啥,且越来越严重的时间 ,你需要做的就是连忙 、马上去医院皮肤科做检测。凭证 检测效果 来选择该怎样治疗和照顾护士。
好好的,怎么突然得了毛囊炎?许多宝宝要问了,那么为什么原本康健的皮肤,会突然发生毛囊炎呢?
现实 上,毛囊炎从本质上讲,就是一种皮肤外貌的菌群失衡。
之前我们发朋侪 圈时也会讲,维持菌群平衡的诸多益处,例如能够增强皮肤屏障功效,维持皮肤康健,改善肌肤敏感性问题,改善肌肤炎性问题等。
原理说了100遍,不如1遍真人案例让人明确 深刻。
这次悬案中的小可爱就是发生了菌群失衡的问题,导致毛囊受到熏染,引发了急性的毛囊炎。
我们再一次敲黑板,不要用护肤品取代药品,该看医生一定要尽早看医生!(但也不要忽略护肤,只寄希望于出了问题擦擦药就好。)
可是 谁该为这一切买单呢,素颜霜?她并未提到的一些其他因素吗?或许都不是。
小可爱体现自己曾经皮肤很好,所有人都市夸她肌肤皎洁 如玉,以至于她对自己的皮肤雅观 度的要求更高,也更少关注科学康健的护肤知识,或许也是她会遇到这种"毁容"事故的缘故原由 吧。
着实 我们已经在反抗“菌群失衡”的问题上小有建树了,雅诗兰黛等一线品牌也早早最先 就在配方中结构“菌”衡实力 在他的小棕瓶里,遇道又何时落伍 过?!
在化妆品因素 中,用于调治肌肤外貌菌群最适合的因素 就是乳酸杆菌,它并不是一种活菌,但却可以通过促进皮肤外貌固有菌群(如表皮葡萄球菌),而不刺激暂居菌群(金黄色葡萄球菌)的增殖,从而使固有皮肤菌群处于优势职位,进而到达皮肤微生态平衡。
这种固有菌群和暂居菌群形成的协调 的微生态系,可以形成一个稳固 且协调 的生物屏障,掩护皮肤康健。
遇道玻尿酸平衡 英华 液里,添加了有用 浓度的乳酸杆菌(芽孢杆菌/大豆发酵产物提取物),可以平衡肌肤外貌菌群生态,增强皮肤的生物屏障力,对肌肤不适易敏、毛囊炎和炎症性皮肤问题都有很好的改善。
想要相识 遇道玻尿酸平衡 英华 的宝宝,接待留言区互动或者直接私信咨询哦~
接待关注我~
小红书、知乎、微博、豆瓣、抖音、B站
全网同名:「遇道娘娘」
你遇到过什么护肤乌龙事务 吗?
接待在谈论 区留言!
撰写:遇道娘娘&祺哥
排版:哒哒
部门图片泉源 于网络

