
剖解 :
腮腺位于下颌后窝品味 肌后部,上抵颧弓,下达颌骨下缘,形态类似三角形,长6cm,宽3~4cm,最厚处约1.0cm。腮腺导管始于腺泡腔,经润管→纹管(小叶内) →渗透 管,总导管启齿 于口腔内,全长3~6cm,外径2~4mm。血供为颈外A分出的颞浅A和颌内A分支。静脉最后汇入面总、面后和颈外V,穿行腮腺内的有面N、颈外A。
腮腺的筋膜:
颈深筋膜的浅层在腮腺下极分两层包绕腮腺,形成腮腺筋膜,并分成许多脱离 伸到腮腺实质内,将腺体分成许多小叶,也发出索状纤维束,伸入外耳道裂隙,因此腮腺内外熏染容易向外耳道伸张 。
腮腺的淋投合:
腮腺内淋投合分为浅组及深组,绝大部门为浅组。
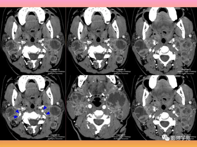
腮腺浅组淋投合多位于腮腺浅叶的后下极且散在漫衍;
其漫衍特点可以较好的诠释 腮腺浅叶后下极为腺淋巴瘤的常见发病部位,且具有多发性的特点。
浅深叶划分:
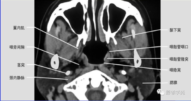
以下颌后静脉与胸锁乳突肌内侧的连线(或面神经)为界分为深叶和浅叶,以耳垂为界分为上下极,在矢状位上以下颌后静脉为界将浅叶再分为前上、下极和后上、下极。
涎 腺 疾 病 WHO涎腺肿瘤组织学分类
恶性上皮性肿瘤
(1)腺泡细胞癌 2)粘液表皮样癌 3)腺样囊性癌
(4)多形性低度恶性涎癌 5)上皮-肌上皮癌
(6)非特异性透明细胞癌 7)基内情 胞涎癌
(8)皮脂腺癌 9)皮脂淋巴腺癌 10)囊腺癌
(11)低度恶性筛状囊腺癌 12)黏液腺癌 13)嗜酸性腺癌
(14)涎腺导管癌 15)非特异性涎癌 16)肌上皮癌
(17)多形性腺瘤癌变 18)癌肉瘤 19)转移性多形性腺瘤
(20)鳞状细胞癌 21)小细胞癌 22)大细胞癌
(23)淋巴上皮癌 24)成涎细胞瘤
2.良性上皮性肿瘤
(1)多形性腺瘤
(2)肌上皮瘤
(3)基内情 胞腺瘤
(4)Warthin瘤
(5)嗜酸性腺瘤
(6)小管状腺瘤
(7)皮脂腺腺瘤
(8)淋巴腺瘤
—皮脂腺型
—非皮脂腺型
(9)导管乳头状瘤
—内翻性导管乳头状瘤
—导管内乳头状瘤
—乳头状涎腺瘤
(10)囊腺瘤
3.软组织肿瘤
(1)血管瘤
4.淋巴造血系统肿瘤
(1)霍奇金淋巴瘤
(2)弥漫性大B细胞淋巴瘤
(3)结外边缘区B细胞淋巴瘤
5.继发性肿瘤
腮腺肿瘤的病理类型重大 , 其中绝大多数是上皮性肿瘤, 约占95%, 非上皮泉源 的肿瘤较少见, 约占5% ,
腮腺肿瘤中80% 为良性, 20%为恶性,因此,上皮性良性肿瘤是最常见的类型.
腮腺肿瘤占涎腺肿瘤80%以上,其次是颌下腺5-10%,舌下腺约1%。
良性:混淆瘤60-70%,腺淋巴瘤5-10%
低度恶性:粘液表皮样癌,腺样囊性癌(圆柱癌);
高度恶性:未分化癌,腺癌,鳞癌
儿童:海绵状血管瘤,淋巴管瘤。
腮腺病灶评价要点:
主要通过对病灶的数目、形态、巨细、界线 、强化情形 及病灶与周围血管或其
他结构的关系等征象的剖析 作出评价。
另外团结 病人性别、年岁 等情形 剖析 。
腮腺病灶评价要点:
主要通过对病灶的数目、形态、巨细、界线 、强化情形 及病灶与周围血管或其他结构的关系等征象的剖析 作出评价。
另外团结 病人性别、年岁 等情形 剖析 。
良性腮腺肿瘤的CT体现:
圆形或椭圆形;
可有分叶,边缘多清晰 ;
等密度或稍高密度,CT值30-60HU
增强轻中度均质性强化;
可有囊变,点状、条状或小斑片状钙化
钙化主要见于良性混淆瘤及神经鞘膜瘤
腮腺恶性肿瘤CT体现:
边缘不规则或分叶;
密度不均,可有出血、坏死、液化、囊变
与相近 结构差异水平粘连,对周围腺体呈侵蚀性体现,易向腺外结构侵占 ,使腺体与周围脂肪、肌肉组织间隙中的筋膜模糊或消逝 。
增强,不均质强化。
颈部淋投合肿大及转移征象。
面神经受侵占 的变现:
乳突尖、茎突骨质收破损 的变现;
茎乳孔与腮腺间的脂肪间隙消逝 ;
下颌后静脉受累移位。
恶性肿瘤可沿神经周围侵占 ,即肿瘤沿神经内膜、神经束膜或神经淋巴管扩散、伸张 。最常受累的为面神经及三叉神经
图6 a 、b 、c 囊腺癌 左侧腮腺弥漫性增大,密度增高,边缘无法确定,同侧颈部可见淋投合肿大坏死,胸锁乳突肌受侵占
MRI变现:
良性或低度恶性肿瘤:
T1WI呈低等信号;T2WI呈高信号。
高度恶性的肿瘤
T1WI呈低信号;
T2WI呈低信号或相对低信号
因此,T2WI上肿瘤呈低信号,无论临床变现和肿瘤界线 怎样 ,应该思量 有恶性的可能。
Kassel 将腮腺肿瘤的CT 体现分为三类:
Ⅰ类圆形、边缘清晰 、包以被膜的肿瘤、提醒 良性;
Ⅱ类分叶状或不规则、界线 清晰 、提醒 肿瘤具有轻度侵袭性、易于复发;
Ⅲ类边缘不清、浸润性生长、提醒 恶性。
腮腺内外肿块的定位:
腮腺肿瘤外缘与腮腺之间有无脂肪层存在;
肿瘤较大时凭证 茎突推压的偏向及肿瘤最大径;
腮腺内外肿块的定位:
腮腺深叶肿瘤与咽旁间隙肿瘤判别 :
腮腺深叶肿瘤多呈哑铃状,病变常致茎突和下颌支之间的距离增宽,咽旁间隙脂肪带常内移;二腹肌后腹后移。
咽旁前间隙的肿瘤常致咽旁脂肪带外移,在肿瘤和腮腺深叶间有脂肪距离 ,病变致其茎突下颌沟增宽少见。
咽旁后间隙肿瘤致二腹肌后腹前移。
部门腮腺肿瘤的特点:
囊肿、脂肪瘤:低密度
海绵状血管瘤:强化显著
混淆瘤:钙化、囊变
腺淋巴瘤:MF,浅叶后下极,双侧多中央
腺样囊性癌:嗜神经生长(面瘫)。
结论:
CT对发现腮腺区肿瘤和肿瘤的定位较为可靠。
对判别 肿瘤的良恶性有较高价值
对肿瘤组织学诊断价值不大。
腮腺良恶性肿瘤治疗:
良性肿瘤一样平常 接纳肿瘤组织及周围腺体的区域切除或腺叶切除,少部门需全腮腺切除,一样平常 可剖解 并保留面神经,术后无需特殊治疗;
而恶性肿瘤多数需要扩大切除规模,切除受累面神经并举行 同期修复术,如发现有淋投合转移还需作淋投合清扫术,对病理分化差或局部复发率高的鳞癌或腺样囊性癌术后还需举行 放疗或化疗。
对原发灶的实时准确 处置赏罚 可阻止 复发、镌汰 远处转移的时机,直接影响到患者的预后。
因此术前的定性诊断有主要 的临床意义。
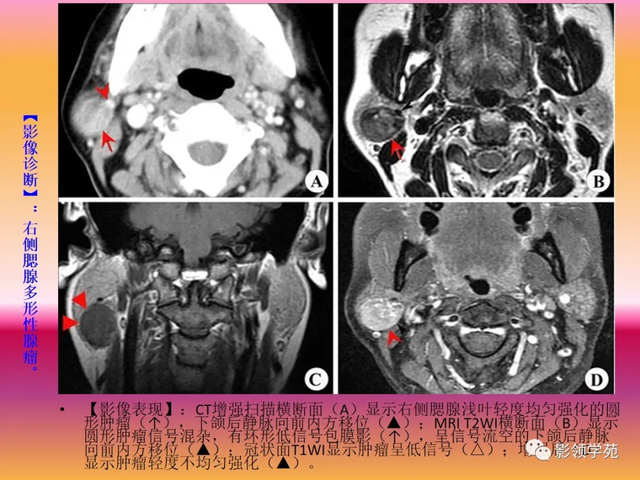
多形性腺瘤(混淆瘤)
多形性腺癌(pleomrphicadenom)是一种包膜情形 纷歧,光镜下以结构多形性而不是细胞多形性为特征的肿瘤。通常上皮和变异肌上皮因素 与黏液、黏液样组织或软骨样组织混淆存在。曾以为 黏液软骨样组织来自间叶组织,故又称为混淆瘤(mixedtumor)。
多形性腺瘤是最常见的涎腺肿瘤,凭证 统计,多形性腺瘤占涎腺上皮性肿瘤的51%,占其良性肿瘤的88%。可发生于任何年岁 ,以30~60岁最多见,平均就诊年岁 是46岁。女性略多于男性。
约80%发生于腮腺,其次为下腺下腺,舌下腺有数 。
临床体现:
临床上通常体现为生长缓慢的肿块,巨细多数直径在2~5cm,也有长至很大者,肿瘤呈不规则形,外貌有结节,由于结构差异,触之软硬纷歧,可运动,发生于腭部和多次复发者一样平常 不运动,腭部肿物较大十黏膜外貌可形成创伤性溃疡。当生长加速并伴有疼痛时应思量 恶变。
恶变:
恶性多形性腺瘤可以是:良性多形性腺瘤合并癌,最为常见;癌及肉瘤并存;良性多形性腺瘤有远处转移。良性多形性腺瘤存在的时间越长,恶变率高,若是 不实时切除,约25%汇合并癌,对于发病年岁 较大者,病程较长而近期肿物有显着 增大者,病灶界线 不清并伴有大片坏死的,均应高度嫌疑 有恶性改变。
病理:
肉眼视察,多呈不规则结节状。剖面多为实性,灰白色或黄色,有白色条纹,可见囊腔形成,囊腔内含透明黏液,有时可见可见浅蓝色的软骨样组织或黄色的角化物,偶见出血及钙化。肿瘤周围有厚薄纷歧的包膜,多数肿瘤包膜完整,可是 以黏液样结构为主的肿瘤或发生于小涎腺者包膜可不完整或无包膜。复发肿瘤多因由 于手术历程中的莳植 ,常为多灶性。
腮腺其他肿瘤及肿瘤样病变
1.囊肿:分为潴留性和先天性两大类,先天性囊肿分皮样囊肿和鳃裂囊肿两大类。CT体现为囊性低密度肿块,T1WI呈低信号,T2WI呈高信号,增强扫描无强化
2.脂肪瘤:约占腮腺肿瘤1.3%。CT和MRI体现为腮腺内脂肪密度/信号肿块,多为单侧发病,诊断不难。
3.对称性良性脂肪瘤病:病因不明,CT和MRI体现为双侧腮腺对称弥漫漫衍脂肪密度/肿块影,其内可见纤维条索影。
腮腺脂肪瘤
4.血管内皮瘤:原发于腮腺者有数 ,组织学上,是介于分化优异 的血管瘤和血管肉瘤之间的一种肿瘤。多见于6个月以内婴儿,CT体现为腮腺内肿块,边缘清晰 ,显着 强化,强化水平与血管一致,具有特征性,病灶可呈多灶性。
5.纤维组织细胞瘤:是泉源 于间叶组织的肿瘤,由成纤维细胞和组织细胞组成,原发于腮腺者有数 。CT体现类似良性肿瘤。
腮腺炎性病变及弥漫性病变
1.腮腺炎:
急性腮腺炎CT和MR体现为腮腺肿大,典型者呈弥漫性肿大,可双侧发病,一样平常 不形成肿块,腺体密度、信号漫衍不均。
慢性腮腺炎体现为腮腺密度增高,体积缩小,见散在钙化影或MRI可见腮腺导管扩张时,有助于慢性炎症诊断;
当腮腺炎症合并蜂窝织炎时,体现为腮腺弥漫性肿大并普遍 气体影;
当伴有淋投合反映性增生时,可见多发结节,边缘清晰 ,密度匀称 ,直径常小于1.5cm,藉此可与多灶性腮腺肿瘤病变判别 。
腮腺炎性病变的分类
一样平常 按病原体分为化脓性、特异性和病毒性,以化脓性最多见。按病程分急性、慢性,慢性多于急性。急性腮腺炎多见于儿童,成人则以慢性炎症多见。外洋Rabinov和Weber将腮腺炎分为壅闭 性、非壅闭 性、肉芽肿性及舍格林氏综合征;海内邹兆菊等将慢性化脓性炎症分为儿童复发性、成人复发性、慢性壅闭 性及腮腺内非特异性淋投合炎,其中腮腺内非特异性淋投合炎为假性腮腺炎。
腮腺炎的CT体现及其病理基础
CT体现可归纳综合为3种类型:
(1)双侧或单侧腮腺弥漫性增大,密度匀称 增高,与周围结构分界清晰 。
(2)单侧腮腺弥漫性增大,密度不匀称 ,边缘模糊,与咬肌分界欠清晰,增强后不匀称 强化。
(3)单侧腮腺内局限性高密度影,密度较匀称 ,边缘模糊,增强后界线 稍清晰。
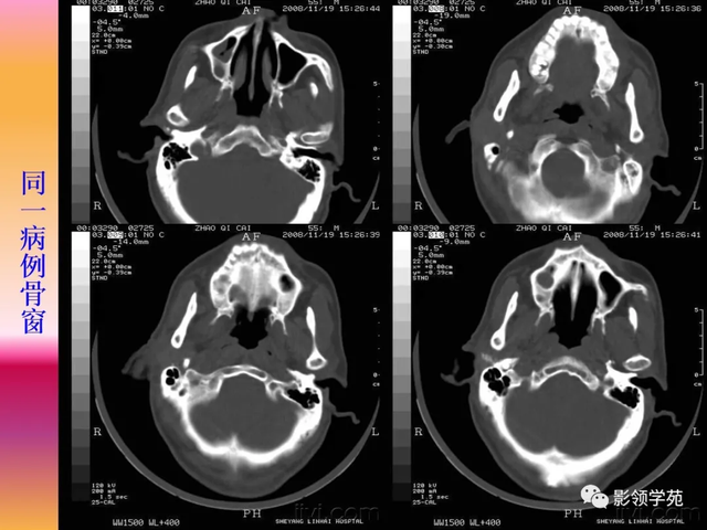
【影像体现】:右侧腮腺不规则增大,边缘强化不规则,CT值为15-44HU,内有低密度坏死区,且见脱离 ,周围显着 强化,未见肿大淋投合。
【影像诊断】:右腮腺脓肿。
2.腮腺脓肿:体现为腮腺局限性肿块并黑点状坏死,典型者可见环状强化,伴相近 筋膜增厚和皮下脂肪层模糊,团结 临床局部皮温升高可诊断。
3.腮腺结核:好发于年轻女性,分为腮腺淋投合结核和腮腺实质结核,前者多见,全身症状不显着 。CT体现为密度不均、边缘较模糊的结节或肿物,并结节状钙化和腮腺周围淋投合肿大,CT增强扫描不匀称 强化、环形强化及花边状强化有一定特征。
4.淋巴上皮病:是一种免疫性疾病,可能与自身免疫或病毒熏染有关,良性淋巴上皮病可恶变为淋巴上皮癌及黏膜相关淋巴瘤。CT体现为双侧腮腺弥漫性肿大,多发囊性或实性肿块,伴扁桃体或颈部淋投合反映性增生,增强扫描囊性病灶边缘强化,实性病灶不匀称 强化。
5.海绵状血管瘤:腮腺颌面弥漫性海绵状血管瘤易沿周围间隙伸张 ,动态增强扫描呈渐进性强化,T1WI低信号,T2WI高信号,其内可见点状、迂曲状及管状流空血管影,团结 皮肤暗红色可诊断;体现为局限性肿块时,CT和MRI显示病灶内点状强化血管影有助于诊断。
海绵状血管瘤
6.嗜酸性淋巴肉芽肿:又称嗜酸性细胞增生性淋巴肉芽肿,病因不明。CT体现为腮腺弥漫性肿大,肿块边缘不清,无坏死,显着 不匀称 强化,累及皮肤及皮下脂肪层,伴有相近 颈部淋投合肿大,应注重 与良性淋巴上皮病及转移瘤判别 ,团结 临床嗜酸性粒细胞显着 增多,有助于诊断。
鳃裂囊肿
是腮腺最常见的先天性发育异常。一样平常 发病年岁 较小,以第二腮裂囊肿最常见,位于下颌角后方,下颌下腺和胸锁乳头肌前缘之间。
CT体现为囊性病灶,内容物常有分层征象 ,增强扫描囊壁强化显着 。而Warthin 瘤虽可发生囊变坏死,但始终小于实性部门。
(腮腺区)淋巴管瘤(Lymphangioma)
病例1:男性, 41岁,因“发现右耳垂下肿物1月余”:
病理:混淆瘤
病例2:女,30岁,发现右耳垂下肿物9月
病理:混淆瘤
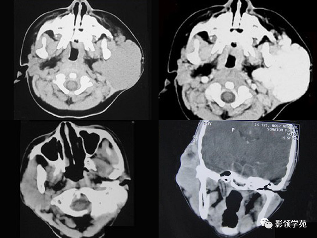
病例3:男性,68岁,因“发现右耳垂下肿物30余年”:
病理:腺淋巴瘤
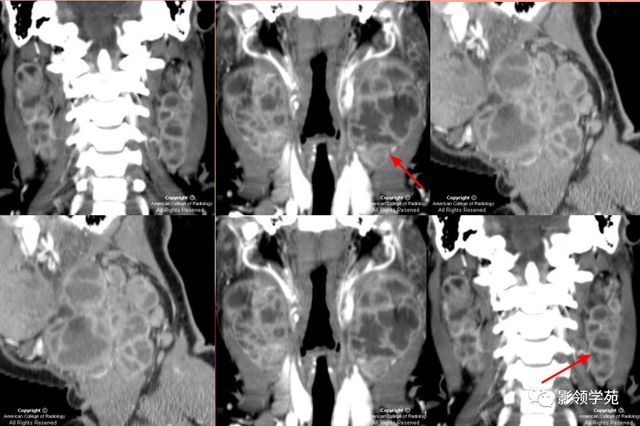
病例4:男性,81岁,因发现右耳下肿物10年余,举行 性增大2年:
病理:腺淋巴瘤
泉源 :影领学苑
【版权声明】本平台属公益学习平台,转载系出于转达 更多学习信息之目的,且已标明作者和出处,如不希望被撒播 的先生 可与我们联系删除
【版权声明】本平台属公益学习平台,转载系出于转达 更多学习信息之目的,且已标明作者和出处,如不希望被撒播 的先生 可与我们联系删除

