
层层剖析,助力提升临床诊疗头脑
硬皮病是一种以皮肤炎症、变性、增厚和纤维化进而硬化和萎缩为特征的可引起多系统损害的结缔组织疾病,线状硬皮病是硬皮病的局限型,主要累及前额部皮肤, 常为单侧,呈线状或带状漫衍,在头皮和额部皮肤呈刀砍状[1]。
克日 临床诊治1例线状硬皮病患者,体现偏头痛,头皮呈“刀砍”征,颅内影像却尚有 “隐情”,有请大连大学隶属新华医院神经内科唐伟主任,对病例举行 剖析 。
临床资料
患者男性,55岁,于2022年2月14日以突发头痛2d为主诉入院。
患者入院前2d无显着 诱因泛起左侧额颞部一连 性胀痛,呈阵发性,一连 10-20分钟不等,伴恶心吐逆 ,吐逆 为胃内容物。无肢体运动异常,无言语障碍,行头颅CT检查示左额叶异常信号。头颅MRI+增强示左侧额顶部颅骨皮下软组织变薄(图1),左侧侧脑室旁、额顶叶皮质下可见片状异常信号,增强扫描未见异常强化(图2)。既往患者于20岁时首次发现左侧额面部点片样瘢痕皮损,逐渐希望 扩大,未诊断。
入院体检:患者左侧头皮、额面部刀疤样皮损伴局部脱发,照片经本人知情赞成 后刊出(图3)。
神经科体检:意识清晰 ,语言流利,脑神经体检未见异常。四肢肌力Ⅴ级,肌张力正常。双侧病理征(–),皮损处轻度触觉减退。入院后完成风湿抗系统 列、抗心磷脂抗体、抗中性粒细胞胞质抗体测定及血清肿瘤标志物测定,均未见异常。
图1
图1 A T1WI矢状位前额局部头皮脂肪层变薄、消逝 (如图红色箭头所示);图1B T1WI冠状位左前额局部头皮脂肪层变薄、消逝 (如图红色箭头所示);图1C T2WI轴位左前额局部头皮脂肪层变薄、消逝 (如图红色箭头所示)
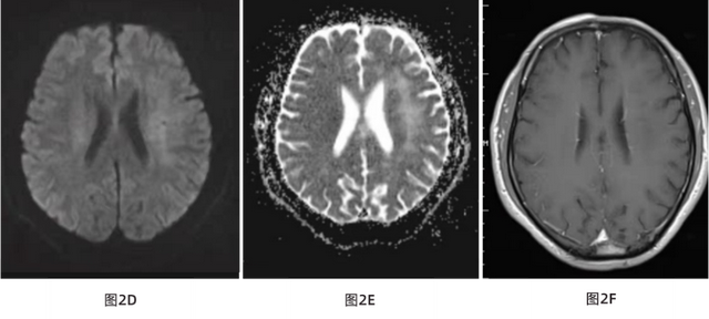
图2 A T1WI轴位左额顶叶皮层下白质低信号;图2B T2WI轴位左额顶叶皮层下白质高信号;图2C T2WI压水相左额顶叶皮层下白质高信号;图2D DWI左额顶叶皮层下白质稍高信号;图2E ADC相左额顶叶皮层下白质稍高信号;图2F T1WI增强无强化
图3 左侧头皮、额面部刀疤样皮损伴局部脱发
讨论
1
线状硬皮病神经系统体现
局限性硬皮病(或硬斑病)是一种萎缩性结缔组织病,其胶原纤维沉积和血管炎性转变 会导致皮肤增厚及皮肤萎缩性斑块的生长。线状硬皮病刀砍状亚型(ECDS)是局限性硬皮病的形式之一,其临床体现主要为在前额及前额头皮泛起典型的单侧线状或曲线状斑块[2]。
本例患者体现左侧头皮、额面部刀疤样皮损伴局部脱发,形象称为“刀砍”线状硬皮病,累及神经系统,可泛起的临床体现有:病变对侧偏瘫,三叉神经痛,颅内动脉瘤,眼动神经麻木 ,周围性面瘫,认知能力下降,偏头痛等[3]。
本例患者主要症状为偏头痛,偏头痛发病机理可能与脑膜和脑实质局部血管炎有关,我国学者对一头痛为主征线状硬皮病患者脑组织活检,发现脑小血管壁增厚、纤维素样变性、大量淋巴细胞为主的炎性细胞浸润、炎细胞侵及小血管壁,支持血管炎所致。
2
线状硬皮病皮肤病理转变
线状硬皮病皮损自眉毛延伸至头皮,一样平常 不越过前额中线,累及毛发区域可发生瘢痕性秃发,偶可累及鼻翼、下颌、面颊 、颈部。
本患左侧头皮、额面部刀疤样皮损,局部脱发,我国学者对患者头部皮肤组织活检示:真皮内胶原增生均质化,少量炎性细胞浸润。脑组织活检:镜下可见软脑膜及灰白质结构。皮层内反映性血管增多,血管壁增厚,淋巴细胞浸润。白质内小灶性梗死,部门坏死灶内可见嗜碱性矿物质沉积。小灶性坏死区内可见少许吞噬细胞,周边血管腔闭塞,提醒 为血管炎为主要病理转变 [4]。
3
线状硬皮病神经影像学特征
ECDS的神经影像学改变包罗:皮肤损害的同侧脑萎缩、白质脱髓鞘改变、脑实质钙化、脑膜和皮层畸形、海马萎缩、大脑动脉狭窄和分支希罕 等[5]。本患皮肤损害同侧的脑白质脱髓鞘改变,增强无强化。
“刀砍”线状硬皮病累及神经系统的发病机制仍不完全清晰 。
一种假说以为 血管炎是神经损害的病理学基础,有学者报道了线状硬皮病合并脑部损害的脑组织活检效果 :小血管周围炎性细胞浸润,脑组织灶状坏死,反映性胶质细胞增生。也发现血管周围慢性炎性细胞浸润,神经细胞丢失,胶质增生。我国学者对脑组织病理活检,效果 示脑小血管壁增厚,纤维素样变性,大量淋巴细胞为主的炎性细胞浸润,炎细胞侵及小血管壁,并在小血管周围呈“套袖”样浸润。个体血管周围可见含铁血黄素沉积。病变部位脑组织结构松散 ,髓鞘变性,反映性胶质细胞增生,支持血管炎[4]。
另一种假说以为 神经管发育缺陷,皮肤损害以下的脑膜和脑实质血管发育不良。脑病理学研究发现:脑膜和脑实质内血管壁硬化增厚,没有纤维素样变性,没有炎性细胞浸润,血管周围胶质细胞增生,钙化。提出线状硬皮病类似于头-面血管瘤综合征(Sturge-Weber综合征),是一种由于血管发育不良引起的神经皮肤综合征,而不是胶原血管疾病的局限性体现。这一假说获得一些学者的支持,有学者发现软脑膜纤维化,皮层变性,不典型的脑膜小血管扭曲畸形本例患者局灶白质脱髓鞘,思量 为脑小血管病变,慢性缺血有关,至于脑小血管病变的病因,明确要进一步活检。
此外,本病通常要与脑肿瘤判别 ,影像无占位体现,增强无强化,不支持肿瘤。
4
线状硬皮病治疗
本病属于自身免疫性疾病,治疗首选糖皮质激素,近年推荐皮质类固醇团结 甲氨蝶呤(MTX)。皮质类固醇有2种方案:口服泼尼松片或大剂量甲泼尼龙静脉注射治疗。
皮质类固醇与MTX团结 治疗对处于疾病运动期患者的疗效显著,尤其是希望 性线状硬皮病。研究显示,二者团结 治疗3个月后70%的患者临床症状显著改善。
关于MTX或其他免疫抑制剂的停药时机,现在 尚无统一尺度。
欧洲风湿病专家小组建议,病情缓解并停用皮质类固醇至少1年,可思量 停用MTX。
我国学者研究批注 予糖皮质激素团结 MTX治疗,2个月后临床症状显着 改善,头晕、吐逆 伴视物模糊症状消逝 ,皮损脱发处毛发生长增多、皮肤质地变软、皮纹恢复,复查头颅影像学提醒 白质病变及钙化较前显着 减轻。9个月临床未再泛起头晕、吐逆 症状,皮损处皮肤色泽、质地及皮纹靠近 正常,脱发处新生毛发较多。
参考文献:
[1]于丽娟,李坤霞,郝英,等.儿童硬皮病并神经系统损害1例[J].中华适用 儿科临床杂志,2017,32(19):1513-1514.
[2]徐凯丽, 张尧, 董慧, 等. 儿童刀砍样线状硬皮病伴中枢神经系统受累的临床研究 [J] . 中华适用 儿科临床杂志, 2021, 36(3) : 210-213.
[3]古美颖,李莉,张书琼.硬皮病合并颅内系统性血管炎一例[J].中华神经科杂志,2009,42(8):575-576.
[4]胡庆哲,李蕾,薛维爽,李珊珊,何志义.线状硬皮病合并神经系统症状一例[J].中华神经科杂志,2015,48(4):330-331.
[5]郭红,张在强.线状硬皮病合并中枢神经系统血管炎[J].中国卒中杂志,2010,5(5):379-383.
专家简介
唐伟教授
医学博士,教授,主任医师,研究生导师;大连大学隶属新华医院神经内四科主任。
学术兼职:辽宁省中医药学会脑病专业委员会常务委员,辽宁省中西医团结 学会神经内科分会常务委员,辽宁省康复医学会精神心理分会委员,辽宁省医学会神经病 分会委员,辽宁省医学会临床盛行 病学会委员,大连市医学会神经病 分会副主任委员。
从事神经内科临床科研教学20余年,具有扎实的神经病学理论基础和富厚的临床履历 ,医学界平台网红讲师,单节课点击30万次,获省科技前进 二等奖1项,市科技前进 二等奖1项,三等奖5项。主持省市级课题6项,揭晓 论文60篇,主编著作2部。
本文首发:医学界神经病学频道
【版权声明】本平台属公益学习平台,转载系出于转达 更多学习信息之目的,且已标明作者和出处,如不希望被撒播 的先生 可与我们联系删除

